ケガをしてしまった、どうしよう!

子供はよくころぶものです。特によちよち歩きの時期と小学1年生前後が多いと言われています。1、2歳の頃は歩行が不安定ですので周りの大人の気づかいが必要です。おもちゃ等を口に入れたまま転倒したり、机の角、階段などでぶつける事故があとをたちません。小学1年生前後になると行動が活発になり遊具や高いところからの転落、友だちどうしのふざけあいによる事故などが増えてきます。中学生前後になると、事故の頻度は減りますが、自転車などによる交通事故、スポーツによる事故などが起こってきます。ここではケガの程度の軽い方から順に実際の症例をお見せします。

唇をぶつけた

転倒などによってお口の中(粘膜)を傷つけることがあります。この写真の傷は下の前歯で傷ついた物です。この程度の傷なら何も処置をせずとも自然と治ってきますし痕も残りません。お薬(塗り薬)を処方する場合もあります。

上唇小帯が切れた

上唇小帯の付着部位(歯茎についている位置)が悪い場合には転倒などで簡単に切れることがあります。その場合、かなり出血しますが切れた状態で治ってしまいます。以前はよく付着部位が悪いときには手術をして人為的に切っていたくらいですからそのままで結構です。出血がなかなか止まらないとか、腫れてきた場合などは歯医者さんへ行ってください。66、上唇小帯が前歯の生え際まで伸びていますもご参考に。

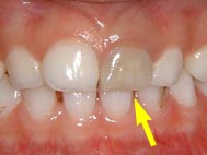
歯ぐきがめくれた

ぶつけ方によって付着歯肉(骨の上にある歯ぐきで、堅い部分)がめくれるように傷つくことがあります。左の写真は矢印の間で裂けてしまい、付着歯肉がめくれている状況です。歯は打っておらず、動揺などはありませんでした。この様な場合は剥がれた歯ぐきを元の位置に戻し、縫合する必要があります。放っておくと付着歯肉が下がった状態で治癒してしまい、傷あとを残す場合があります。右の写真は受傷から2ヶ月後の写真です。傷あともなく完全に治癒しています。

歯が欠けてしまったら

永久歯でも乳歯でも歯の先端がほんの少しだけ欠けてしまった場合には尖った部位を丸める処置をします。写真の様に欠け方がやや大きく目立つ場合には欠けた部位の形を整え、プラスティックで修復します。もちろん、歯の神経が露出している場合には神経を抜くなどの処置が必要となります。

歯が大きく欠けてしまったら

写真の様に大きく欠けた場合には欠片を元の位置に戻し接着剤で修復します。全ての欠片が見つかればよいのですが見つからない場合とか欠片が砕けてしまい利用できない場合には足りない部分をプラスティックで修復します。矢印の部分はプラスティックで修復した部分です。もちろん、歯の神経が露出している場合には神経を抜くなどの処置が必要となります。しかし、将来的には下記のような折れた歯を全て覆うような補綴処置になるでしょう。

歯の色が変わってきた

歯をぶつけて打った場合、歯の中の神経が死んでしまう場合があります。だいたい1週間前後で歯の色が赤茶色になったり、2〜3か月経過した後に、歯が黒ずんでくることがあります。この場合は歯に穴を開けて中の死んでしまった神経を取ってあげる必要があります。そうしないと歯の色はますます変色してきます。神経は死んでいますので麻酔などは使う必要はありません。2〜3回程、通院する必要があります。変色がなくとも歯の根が徐々に溶け出すことがあります。1〜2年程ですっかり根がなくなることがあります。26、前歯をぶつけて歯の色が変わったも参考にしてください。

歯が折れてしまったら

歯の先端が少しだけ欠けてしまった場合にはそのままでも大丈夫ですが、1/4以上折れてしまった場合には神経(黄色の矢印の所が露出した神経)が露出していることがあります。その場合には神経を抜き、根の処置が必要となります。その後、プラスティックで欠けた歯の部分を修復します。左の写真は乳歯ですが欠けた範囲が広いためコンポジットレジン冠で修復しています。永久歯が折れた場合には将来的に歯の全部を覆うような治療が必要になる場合があります。

永久歯の場合でも1/4以上折れてしまった場合には神経が露出していることがあります。その場合には神経を抜き、根の処置が必要となります。その後、綺麗に折れてしまっている場合には上の写真のように折れた歯をつなげることもできます。折れた歯の欠片も出来るだけ持ってくるようにして下さい。しかし、将来的には折れた歯を全て覆うような補綴処置(歯を細く削るか土台を作って、人工の歯を被せてしまうような処置:右の写真)になるでしょう。

歯に縦に亀裂がはいったら

表面だけに亀裂が入った場合はそのままでも大丈夫でしょう。そのまま様子を見ることになります。しかし、左の写真のように縦に亀裂が入ったり、歯茎の中の方まで破折している場合では残念ながら歯を残すことはできません。抜歯の適応になります。その後の処置としては30、乳歯を早い時期に失ってしまったら45、4歳で前歯をぶつけて固定したがだめだったをご参考に。しかし、乳前歯を1本だけ失った場合は歯並びに影響を及ぼすことが少ないため、抜けたままにすることも少なくありません。

歯がグラグラしていたら

歯をぶつけてしまってグラグラする場合があります。乳歯の場合には歯の生え代わりの為に、歯の根が溶けてなくなっていることがあり、この場合は心配はいりません。乳歯が抜けてきれいな永久歯が生えてきます。一方、生え代わりの準備ができていない根の長い乳歯や永久歯がグラグラしている場合は元の正しい位置に歯を戻して固定する必要があります。両隣の歯と矯正用装置を使って、3〜4週間ほど固定します。あまり長く固定すると歯の根と顎の骨(歯槽骨)が直接癒着し、将来、歯の高さが変わってくる場合があります。歯がめり込んだ場合にはぶつけた直後は動きませんが、時間が経つにしたがって押し出されグラグラしてくることがあります。この場合も固定が必要です。乳歯をひどくめり込む方向にぶつけた場合、乳歯の根の先で骨の中にある永久歯の芽を傷つけてしまうことがあります。この場合は永久歯が生えるのを待ち、むし歯と同じ様な治療をします。左の写真は1ヶ月後です。歯がめり込んでしまう場合もあります。治療としては同様な処置をします。詳しくは46、ぶつけて歯がめり込んでしまったらを参考にされて下さい。
歯の生え代わりにはまだ時間があるはずの乳歯でグラグラする場合があります。グラグラするきっかけとしては乳歯をぶつけて動き出すこともありますし、ただ普通に食事をしていて動き出すこともあります。左のレントゲン写真では永久歯の準備がまだできていないのにもかかわらず、乳歯の根(黄色の矢印)が先に溶けてしまっています。このような場合にはいくら上の写真のような装置で固定しても動揺は収まりません。ここまで乳歯の根が溶けてしまっていると、お菓子の袋などを口で開けようとして歯が抜けてしまうこともあります。無理をせずに大切に使いましょう。この乳歯の根が溶けてしまった原因として考えられるのは、以前(数ヶ月から1年以上も前)にやはり外傷によりダメージを受けたのでしょう。

歯が抜けてしまったら

強くぶつけてしまった時には前歯は折れずに根っこごと抜けてしまうことがあります。あきらめるのはまだ早い! 適切な処置をするとまた以前のように使えるようになります。

1、急いで抜けた歯を探しましょう。
2、水道水(流水下で10秒以内)で洗います。歯に付いた汚れを洗い流します。この時ゴシゴシこすってはだめです。
3、歯を乾燥させないように抜けた歯を元に戻すか、ほっぺの内側にいれるなどして急いで歯医者さんへ。短時間(30分以内)ならそのままでも大丈夫。
4、休日や夜間などですぐに歯医者さんにいけない場合は牛乳の中に入れ冷蔵庫で保管します。コーヒー牛乳やヨーグルトではだめです。
5、歯の根の処置をして歯を元の位置へ戻し固定します。約3〜4週間ほどでつきます。

歯の根がぽっきり折れてしまった場合には残念ながら元に戻すことはできません。乳歯では歯の生え代わりのために元々、歯の根が溶けていることもあります。歯医者さんで確認してもらってください。

9歳のお子さんです。遊具から転落して前歯を強くぶつけてしまいました。矢印の所にあった永久歯が完全に脱落し、隣の永久歯も1/2程飛び出しています。このような場合でも元に戻すことができます。抜け落ちた歯は神経がちぎれてしまっていますので歯の中の残った神経を抜いて根の先からお薬をつめて抜けた場所に戻します。飛び出している歯も元の正しい位置に戻し、周りの歯とワイヤーで固定します。私の所では矯正用の装置を使用しています。この状態で3週間程固定し、その後ワイヤーを一旦外して状況を確認します。その時の状態で、あと1週間程固定を続ける場合もあります。左の写真は3週間後です。完全に脱落した歯も無事、元に戻すことができました。

脱臼歯の骨癒着

健康な歯はあごの骨(歯槽骨)に直接張り付いている訳ではなく、歯根膜というクッションを介してあごの骨の中に植立しています。健康な歯でも指などで押すと少し動くのは、この歯根膜が正常に働いているためです。しかし外傷により一旦脱臼した歯は場合により、この歯根膜が一部分なくなってしまい歯の根と骨が直接くっつくこと(骨癒着)があります。この場合はまったく動かなくなります。通常、使用することには問題がありませんが、子どもは成長するものです。骨癒着した歯の周りの組織は順調に成長しますが、癒着した歯だけが成長から取り残されます。このようなことが起こると徐々に歯の高さが低くなってきます。左の写真、矢印の乳歯は骨癒着を起こし、成長から取り残されています。今後、周りの歯との差は徐々に広がってくるでしょう。この様な場合は生え代わりがうまくいきませんので時期を診て、抜歯する事になります。永久歯でもこのようなことは起こります。永久歯の場合は長い年月を掛けて徐々に歯の根が溶け、結局は使えなくなることもあります。

乳歯をぶつけた場合の永久歯への影響

現在5歳のお子さんですが、下の乳前歯を2歳1ヶ月の時にぶつけて完全に抜け落ちてしまいました。その時には固定など適切な処置をしたのですが、乳歯の根の先端で顎の骨の中で育っていた永久歯の芽を傷つけた様です。生えてきた永久歯の表面は茶色くなり窪んでいます。レントゲンでは矢印の所に線が入っているのが確認できます。まだ歯ぐきの中に隠れていますが、この部分がくびれているということです。やはり乳歯をぶつけたときにかなりの衝撃が永久歯の芽に及んだのでしょう。部分的に窪んでいる場合は、むし歯の治療と同じように処置することが可能です。しかし、広範囲に影響が及んでいるときには将来、補綴処置(歯をぐるりと削って人工的に作った歯ををかぶせる処置)が必要となるでしょう。


小児義歯について

乳歯を早い時期に失った場合は歯並びにも影響が出る場合もあります。前歯を失ったときには審美性も損なわれます。そこで、それらを回復するために小児義歯を入れる場合があります。小児の場合は今後の顎の成長を考える必要があり、それらを妨げる恐れのあるブリッジ(失った歯の両隣の歯を削り、固定式の歯を入れる方法)は使用できません。左の写真は矢印の部分の歯を外傷により失い、審美性の回復のために小児義歯を入れています。失った乳歯は1本ですが、小児義歯の場合は操作性、危険防止のため、奥の方(口蓋)の部分まで床(プラスティックの赤い部分)で覆ってしまいます。必ず定期的に調整する必要があります。よくある質問コーナーの「Q30、乳歯を早い時期に失ってしまったら」もご参考に。

ケガをする前に、マウスガードの話

スポーツにはケガがつきものです。特に動きの速いスポーツ、コンタクト(接触)の多いスポーツでは、顎(あご)や顔面領域のケガの発生率が高くなっています。マウスガードを装着することで、顎(あご)や顔面領域のケガを防ぐことが出来ます。マウスガードは口の中の保護装置で、マウスピースとも呼ばれています。マウスガードは外カから顎と□のまわりへの衝撃をやわらげ、歯の破折や、顎の骨折、顎関節へのダメージ、□の中・外の軟組織のケガを防止するものです。脳震盪の予防にもなります。
マウスガードは、上顎の歯につけることが多いのですが、極度の反対咬合の場合は下のほうにだけ、あるいは上下につけることもあります。
スポーツ先進国アメリカの歯科医師会の報告によると、合衆国内でおこなわれるスポーツの試合中にマウスガードを装着することで、年間200,000件以上の□腔領域のスポーツ外傷を防いでいるとしています。予防効果が高いという同様な学会報告がみられます。日本においても最近、高校ラグビーでは装着が義務づけられてきています。
しかし、小児では顎の成長の問題もありますので頻繁に作り直す必要があり、あまり普及しておりません。口腔周囲のケガの予防には小児でも効果は変わりません。ケガをしから考えるより、ケガを防ぐ努力も必要ですね。

当院では、ケガの予防のためのマウスガードの製作のご相談を受け付けています。 お気軽にご相談ください。

マウスガード制作料 5,400円 
(当医院の場合です。)

  

目 次
ホーム
院長紹介、メール
ようこそ小児歯科へ
むし歯はどうやって治療する?
幼児の歯みがきワンポイント
染めだしをしてみよう
フッ素、シーラントについて
おやつを考えよう
乳歯を抜く必要がある?
過剰歯(かじょうし)はどうして抜く?
タバコの害から子どもを守る
乳歯の反対咬合(ムーシールドのご紹介)
認定歯科衛生士ご存知ですか?
ようこそ矯正歯科へ
不正咬合の治療例
矯正歯科の料金
矯正治療、こんな時どうしよう
よくある質問コーナー
はは歯クラブ便り
ダウンロードのページ