乳歯を抜く必要がある?

乳歯のむし歯がひどい場合には歯自体が崩壊して抜く必要があったり、根が腐れて乳歯の下にある永久歯まで影響が出る恐れがある場合(よくある質問コーナー51、乳歯の根に膿が溜まったをご参考に)には抜く必要があります。
しかしここでは本来の姿、乳歯は永久歯に生え代わることについてお話しします。乳歯は生え代わりの時期が来るとグラグラしてきて抜けてしまいます。しかし、何らかの理由でうまく抜けなかった場合には抜いてあげる必要があります。あごの骨の中で育っている永久歯の生えようとする方向が悪い場合には、乳歯の根が長く残ることが多く自然には抜けません。また乳歯の根があごの骨に張り付いている場合もあります。そういう場合も時期を見て乳歯を抜いてあげる必要があります。そのままにしておくと永久歯の歯並びが悪くなったり、かみ合わせが悪くなります。

下 顎 乳 前 歯


5歳のお子さんです。下の前歯、左の乳歯の裏が膨らんでいます。永久歯が生えてくる方向が悪く、乳歯の裏の方に生えようとしています。歯の生え代わりは下の前歯から始まることがほとんどです。5歳くらいから始まることが多いようです。歯の生え代わりの時期については詳しくは「よくある質問コーナー」の49、乳歯、永久歯の生える順番についてをご参考に。


17日後、こんな所から生えてきました。この時のレントゲン写真です。乳歯の根が永久歯と重なっているのがわかります。永久歯の萌出方向が悪く、乳歯の根が充分に溶けていません。永久歯が乳歯の真下から生えようとしている場合では、この時期では乳歯の根は溶けてしまっており、グラグラしているはずです。このような場合、永久歯を正常な位置に戻すため、乳歯を抜く必要があります。右の永久歯も萌出方向に問題があります。そこで2本の乳歯を抜歯しました。抜歯した乳歯の根は、やはり充分に溶けていませんでした。


永久歯の萌出のじゃまをしていた乳歯を抜いたことによって永久歯がだんだんと前(正常な位置)に動いてきました。下の前歯ではよくこの様なことが起こりがちです。乳歯を適切な時期に抜歯する事により歯並びが悪くなることを防ぐことができます。


上 顎 乳 前 歯


7歳のお子さんです。下の前歯は永久歯に生え代わり、上の乳前歯も動いています。レントゲンでも順調に乳歯の根が溶けて、永久歯が上がってきているのが確認できました。乳歯が動いているからと言って無理に抜歯することはありません。


3ヶ月後、まだ乳前歯は抜けておらず、右上の乳歯が真ん中に寄ってきました。真ん中にあった隙間もなくなり、歯と歯ぐきの間に隙間ができてきました。レントゲンでは永久歯が乳歯を下から突き上げていることが確認できます。そのことが原因で、右上の乳歯の位置が変わってきたと思われます。この様な状態では乳歯を抜いてあげる方が良いでしょうね。もちろん、乳歯の根は充分に溶けていますので自分自身かご家族の誰かが抜くこともできます。

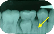
下 顎 乳 臼 歯

乳臼歯の根は上の乳臼歯で3本、下の乳臼歯で2本あります。乳歯と言えども乳臼歯の根はしっかりとあごの骨の中で広がっています。永久歯が真下から真っ直ぐに上がってくる(萌出する)場合には乳臼歯の根も自然と溶けてしまいグラグラして抜けてしまいます。しかし左のレントゲンのように根(矢印)が残ってしまう場合があります。
左のレントゲンの乳歯を抜いたものです。こんなに長く根が残っていました。これではグラグラするはずがありません。乳臼歯、特に奥の方の乳臼歯(第2乳臼歯)ではよく起こることです。


抜かずにそのままにしておくと下の永久歯の萌出方向が変わり、乳臼歯が抜けないまま生えてくることもあります。矢印の歯は乳臼歯が抜けないために内側より生えてきた永久歯(小臼歯)です。


上 顎 乳 臼 歯


左の写真は上の奥歯(第2乳臼歯)です。矢印の所から永久歯(第2小臼歯)が生えてきました。これも上の症例と同様に、なかなか乳臼歯が抜けなかったために外側より生えてきました。レントゲンでもすぐ下まで永久歯が生えてきているのがわかります。もう永久歯が乳歯の帽子をかぶっているような状態ですね。これらの場合でも速やかに乳歯を抜けば正常な位置へと戻ってきます。

目 次
ホーム
院長紹介、メール
ようこそ小児歯科へ
むし歯はどうやって治療する?
幼児の歯みがきワンポイント
染めだしをしてみよう
フッ素、シーラントについて
おやつを考えよう
過剰歯(かじょうし)はどうして抜く?
ケガをしてしまった、どうしよう!
タバコの害から子どもを守る
乳歯の反対咬合(ムーシールドのご紹介)
認定歯科衛生士ご存知ですか?
ようこそ矯正歯科へ
不正咬合の治療例
矯正歯科の料金
矯正治療、こんな時どうしよう
よくある質問コーナー
はは歯クラブ便り
ダウンロードのページ