前歯がガタガタの場合(叢生・そうせい)
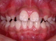
症例1:前歯部だけですんだ症例
(施術基本料はAとなります。)この時期に簡単な矯正治療をすることにより将来、重度の叢生になることを防ぐことができる場合があります。

症例2:前歯部だけですんだ症例
(施術基本料はAとなります。)この時期に簡単な矯正治療をすることにより将来、重度の叢生になることを防ぐことができる場合があります。
![]() |
![]() |
![]() |

症例3:上顎のみを拡大した症例
(施術基本料はBとなります。)
症例4:下顎の歯を2本抜いて治療した症例
(施術基本料はBとなります。)
![]() |
![]() |
![]() |
