歯が生えてこない場合(埋伏歯・まいふくし)

症例1:(施術基本料はAとなります。)

治療前          治療途中          治療後

症例2:(施術基本料はAとなります。)

治療前          治療途中          経過観察中

症例3:(施術基本料はAとなります。)

治療前        治療途中1        治療途中2

症例4:(施術基本料はAとなりますが、将来Bへ移行予定です。)

治療途中1        治療途中2        経過観察中

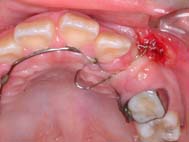
犬歯の埋伏歯です。赤丸の位置から牽引しました。

症例5:(施術基本料はAとなります。)

治療前          治療途中          治療後

6歳臼歯(第一大臼歯)にひっかり萌出できずにいる第二大臼歯を起こし、正常に萌出させます。

症例6:(施術基本料はAとなります。)

犬歯の埋伏歯です。矢印の位置から牽引しました。